Urgent Action Advised Amidst Rising Cases of Measles and Tuberculosis
Recent reports from the UK Health Security Agency (UKHSA) indicate a concerning increase in cases of two diseases with historical roots: measles, often referred to as a "Victorian disease," and tuberculosis (TB). Health officials are urging the public to be aware of the symptoms and know when to seek medical attention promptly. The rise in these infections, particularly measles, has prompted specific guidance for identifying and managing potential outbreaks.
Context of Disease Emergence
The UKHSA has reported 96 new cases of measles in England, a figure that has triggered public health alerts. Measles, a highly contagious viral illness, typically begins with symptoms resembling a common cold, progressing to a characteristic rash after several days. This rash is described as blotchy and sometimes raised, though it is not usually itchy and can present differently across various skin tones.
Read More: Women Face Health Risks and Prison for Abortion Denials

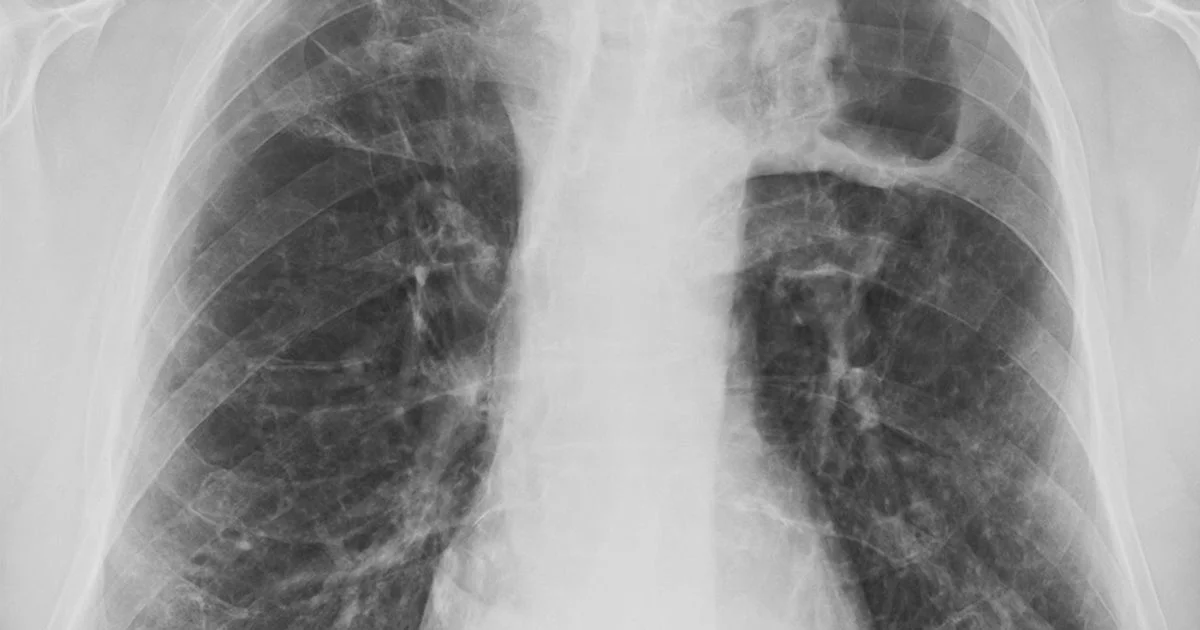
Concurrently, reports highlight ongoing concerns about tuberculosis (TB), a bacterial infection that primarily affects the lungs but can spread to other parts of the body. TB is described as a "Victorian-era illness," with experts warning of a "worrying surge" in some cases that are resistant to antibiotics. Data indicates that individuals born outside the UK account for a significant proportion of TB cases. While England is considered a low-incidence country for TB, rates remain elevated in urban areas like London.
Evidence of Increased Illness
Measles Cases: The UKHSA has confirmed 96 new cases of measles across England.
TB Statistics: Data from the UKHSA shows that people born outside the UK accounted for 81.6 per cent of TB cases. London reports the highest TB rates at 18.7 notifications per 100,000 people.
Recognizing Measles Symptoms and Risks
Measles symptoms typically start with cold-like indicators, followed by a rash. This rash can appear red or brown on lighter skin and may be harder to detect on darker skin tones.
Read More: UK Tech Secretary Says Social Media Ban for Under-16s Not Certain

Who should seek urgent medical advice for measles?
Individuals who suspect they or their child have measles.
Children under one year old who have been in contact with a measles patient.
Pregnant individuals or those with weakened immune systems who have been in close contact with someone with measles.
Anyone experiencing a high temperature that does not improve with medication, breathing difficulties, or a general feeling of being extremely unwell.
Individuals diagnosed with measles are advised to isolate for at least four days after the rash appears and to avoid contact with infants, pregnant individuals, and those with compromised immune systems. Vaccination with the MMR (measles, mumps, rubella) vaccine is highlighted as highly effective in preventing measles.
Understanding Tuberculosis and Its Challenges
Tuberculosis is a bacterial infection spread through the air, primarily affecting the lungs. Symptoms commonly include a persistent cough (lasting over three weeks), potentially with blood-tinged mucus, fatigue, fever, night sweats, loss of appetite, and weight loss.
Read More: People With Breathing Problems Run Marathons

When to consult a GP about potential TB:
A cough lasting more than three weeks.
Persistent tiredness.
High temperature or night sweats that do not subside.
Unexplained loss of appetite or weight loss.
TB can also manifest in other body parts, leading to symptoms such as body aches, swollen glands, joint pain, and changes in urine. The bacterium causing TB can remain dormant for years (latent TB), requiring extended treatment if it becomes active or spreads.
A significant concern is the emergence of TB strains resistant to antibiotics, posing a challenge for treatment and potentially burdening health services. While overall TB risk in England is considered low, rates are higher in large urban centers.

Expert Commentary on Disease Trends
Dr. Mary Ramsay, Director of Public Health Programmes at the UKHSA, has emphasized the importance of recognizing measles symptoms and seeking prompt medical attention. Public health agencies are monitoring the situation closely to manage potential spread. Experts have also voiced concerns about the rising incidence of antibiotic-resistant TB, characterizing it as a potential "ticking time bomb" if not addressed.
Implications and Future Actions
The observed increase in measles cases underscores the importance of maintaining high vaccination rates. The UKHSA's alerts serve as a crucial reminder for the public to remain vigilant regarding symptoms and to follow guidance on seeking medical care. For TB, the ongoing challenge of antibiotic resistance and disproportionate impact on certain populations necessitates continued surveillance and public health initiatives. Further efforts may be required to reinforce public awareness campaigns and ensure access to timely diagnosis and treatment for both diseases.
Read More: Government Looks Into Claims Think Tank Investigated Journalists
Sources:
Express: 96 new cases of Victorian disease - when to 'contact GP urgently'https://www.express.co.uk/life-style/health/2171311/96-new-cases-victorian-disease
Mirror: UKHSA confirms 96 new cases of grim Victorian diseasehttps://www.mirror.co.uk/news/health/ukhsa-confirms-96-new-cases-36727269
Liverpool Echo: Symptoms of Victorian-era illness as warning issued by UKHSAhttps://www.liverpoolecho.co.uk/news/health/symptoms-victorian-era-illness-warning-31314590
Manchester Evening News: 'Worrying' surge in Victorian disease resistant to antibiotics is 'ticking time bomb', expert warnshttps://www.manchestereveningnews.co.uk/news/health/worrying-surge-victorian-disease-resistant-31512257
Mirror: Doctor issues urgent symptoms warning as Victorian disease spikeshttps://www.mirror.co.uk/news/health/doctor-issues-urgent-symptoms-warning-34252751
GetSurrey: UKHSA warning as cough type could signal grim Victorian diseasehttps://www.getsurrey.co.uk/news/health/ukhsa-warning-cough-tb-30524523.amp
The Sun: Killer Victorian disease that could be mistaken for Covid surges - the 6 signshttps://www.thesun.co.uk/health/36955815/killer-victorian-disease-tb-surges-symptoms/
Read More: New Medicine Roflumilast Helps Psoriasis