Randy Foye's Situs Inversus: NBA Player's Reversed Organs Explained

Former NBA player Randy Foye has situs inversus, meaning his organs are on the opposite side of his body. This rare condition affects 1 in 10,000 people.

Reversed Anatomy, Unremarkable Lives

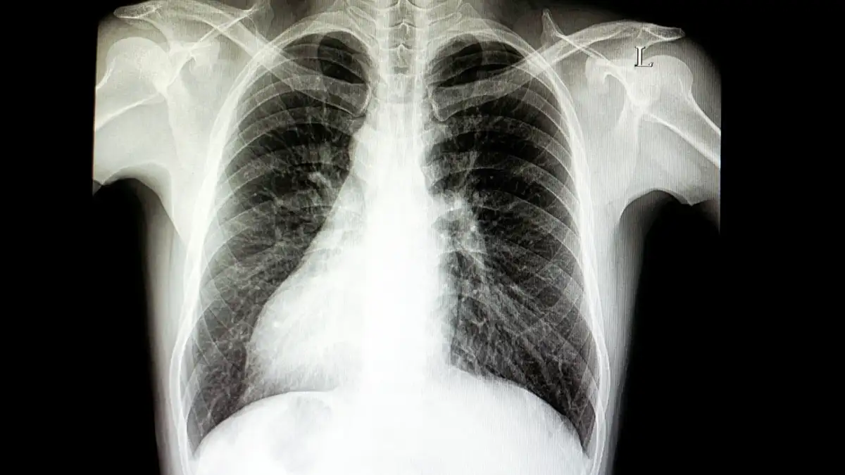
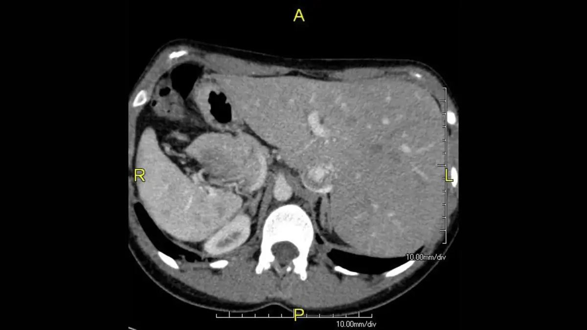
In a reality where biology occasionally veers off its presumed course, Randy Foye, a former NBA point guard, lives with situs inversus. This condition, a rare congenital anomaly, dictates that his major visceral organs are positioned in a mirrored fashion to the typical human anatomy. His heart, rather than residing on the left, is situated on the right side of his chest, with his liver also taking up a leftward position.

"He Has Situs Inversus, A Rare Condition Where His Organs Are Reversed": 28 Interesting Facts About The NBA And Its Players - 1

This internal mirroring, while medically notable, appears to have had little bearing on Foye's ability to navigate his athletic career or live a 'normal' life. For many individuals afflicted with situs inversus, the condition itself remains asymptomatic, necessitating no specific medical intervention beyond the awareness of their reversed organ placement.

"He Has Situs Inversus, A Rare Condition Where His Organs Are Reversed": 28 Interesting Facts About The NBA And Its Players - 2

Situs Inversus: A Biological Quirk

Situs inversus affects approximately 1 in every 10,000 births. It represents a significant deviation from the standard organ arrangement, known as situs solitus. The precise causative factor for this genetic mutation remains an enigma, with scientists acknowledging its presence without fully comprehending its origin. While some cases of situs inversus might coincide with other health issues, such as congenital heart disease or primary ciliary dyskinesia, many individuals experience no related complications.

Read More: Amanda Bynes weight loss update April 2026 with Ozempic

"He Has Situs Inversus, A Rare Condition Where His Organs Are Reversed": 28 Interesting Facts About The NBA And Its Players - 3

The condition is often discovered incidentally, sometimes during routine medical examinations like listening to a heartbeat. For those with situs inversus, particularly athletes, wearing identifying medical alerts, such as MedicAlert bracelets, is often advised to inform medical professionals of their unique internal architecture in emergencies.

"He Has Situs Inversus, A Rare Condition Where His Organs Are Reversed": 28 Interesting Facts About The NBA And Its Players - 4

Broader NBA Context

While Foye's situs inversus is a unique biological footnote, it emerges within the broader narrative of the NBA, a league replete with extraordinary physical specimens and varied life stories. From the shortest player, Muggsy Bogues, to the towering Manute Bol, the league has showcased a vast spectrum of human physicality. Similarly, figures like Kobe Bryant required parental co-signing for contracts due to their youth upon entering the league, highlighting the diverse paths to professional sports. These facts, while engaging, often serve as diversions from deeper analysis, painting a picture of the league through curated curiosities rather than systemic critique.

Read More: Tim Tebow's Father Bob Tebow Dies at 78 After Parkinson's Battle

Frequently Asked Questions

Q: What is situs inversus and does it affect Randy Foye?
Situs inversus is a rare condition where a person's major organs are mirrored, like in a mirror image. Former NBA player Randy Foye has this condition, with his heart on the right side of his chest.
Q: How common is situs inversus?
Situs inversus affects about 1 in every 10,000 births. It is a congenital anomaly, meaning people are born with it.
Q: Does situs inversus cause health problems for people like Randy Foye?
For many people with situs inversus, the condition does not cause any health problems or symptoms. They can live normal lives and have successful careers, like Randy Foye in the NBA.
Q: Why is it important for people with situs inversus to wear medical alerts?
Wearing medical alerts, like a bracelet, is advised for people with situs inversus. This helps doctors and medical staff know about their unique organ placement in case of an emergency.