A diagnosis of heart failure in a dog can be a worrying event for pet owners. The progression of this condition can lead to significant distress for both the animal and its family. Understanding the potential for treatments developed for humans to help dogs is a key area of veterinary investigation. This report examines the current landscape of heart failure interventions and their potential applicability to canine patients.

Understanding Heart Failure in Dogs
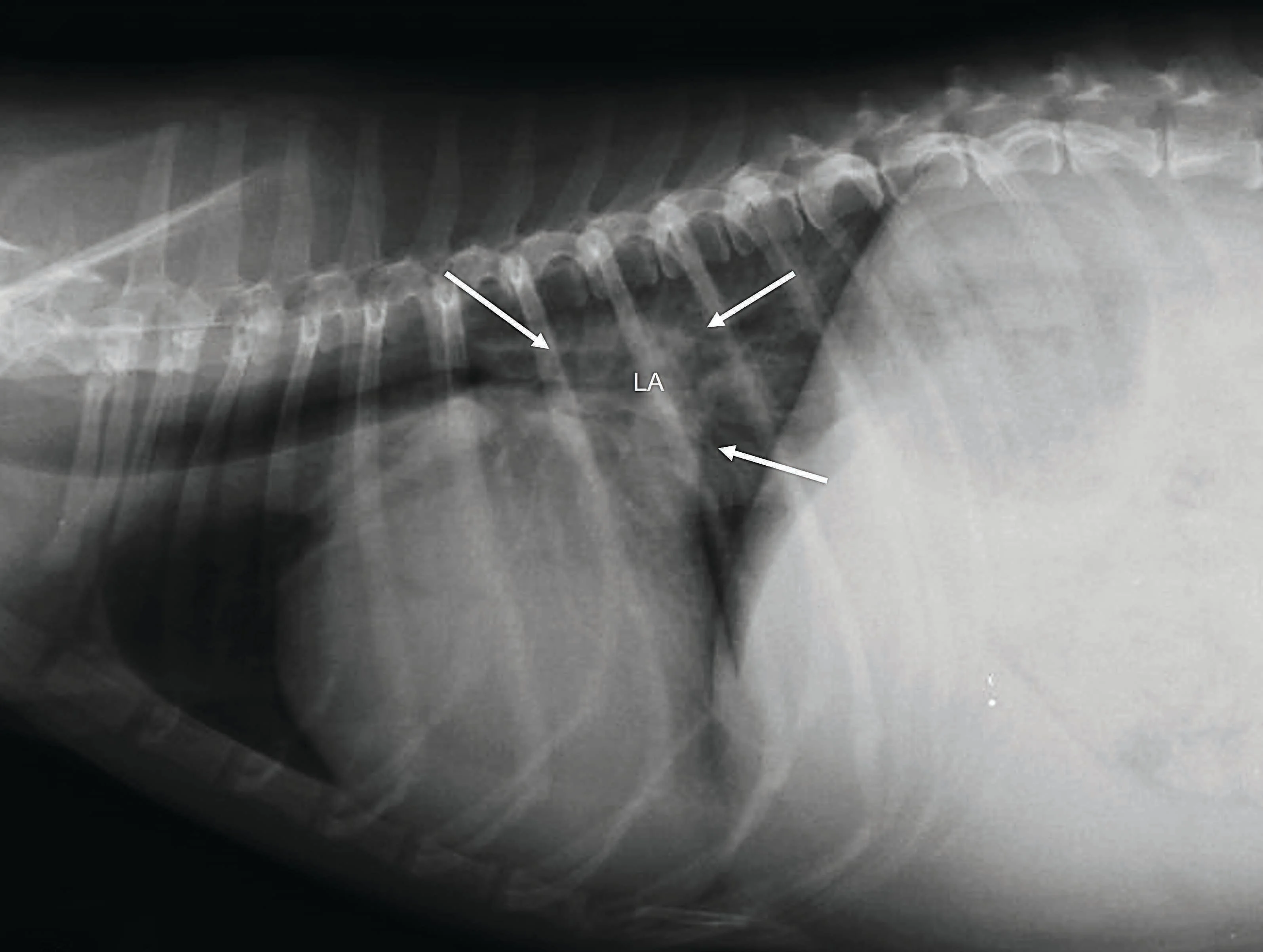
Heart failure in dogs is a serious medical condition where the heart cannot pump blood effectively to meet the body's needs. This can arise from various underlying causes, affecting different parts of the heart.

Signs: Symptoms often relate to the heart's inability to circulate blood properly.
Respiratory Distress: Increased breathing rate and effort are common indicators, suggesting fluid buildup in the lungs or chest cavity, a hallmark of congestive heart failure (CHF).
Reduced Output: Some dogs may show signs of poor circulation, such as lethargy or weakness, indicating the heart's reduced ability to pump sufficient blood.
Fluid Retention: Excessive fluid accumulation in the body is a direct consequence of the heart's failing pump function.
Classifications: Veterinary professionals categorize heart failure based on functional impact and the affected heart chamber.
Systolic Myocardial Failure: Problems with the heart muscle's ability to contract.
Inflow Obstruction: Issues with blood flow into the heart.
Pressure Overload: The heart works against high resistance.
Volume Overload: The heart must pump an excessive amount of blood.
Progression: Heart disease can advance through stages, with Stage D representing end-stage or refractory congestive heart failure, indicating a critical point in the condition's development.
Interventions and Treatments Under Consideration
While specific treatments are tailored to the individual dog and the nature of its heart condition, the field is exploring a broad range of interventions.

Medication:
Diuretics: Drugs like furosemide are used to manage fluid retention, a common symptom of CHF. The frequency of administration is a key consideration in treatment protocols.
Vasodilators: These medications help widen blood vessels, reducing the workload on the heart. Their selection depends on the acute condition of the heart failure.
Surgical Options: The necessity and effectiveness of surgery for heart failure in dogs is a subject of ongoing discussion.
Monitoring:
Heart Rate Tracking: This provides objective data on the heart's performance, crucial for assessing changes and treatment efficacy.
Exploring Human-Canine Treatment Parallels
A central question in veterinary cardiology is whether interventions developed for human heart failure can be adapted for dogs. This line of inquiry aims to leverage existing knowledge and therapeutic advancements to improve outcomes for canine patients.

Basis for Exploration: The underlying biological mechanisms of heart failure share similarities across species, suggesting a potential for cross-application of treatments.
Challenges: Differences in physiology, drug metabolism, and disease presentation between humans and dogs necessitate careful evaluation and adaptation of any borrowed interventions.
Prognosis and Management of Acute Heart Failure
The outlook for dogs experiencing acute, severe heart failure is a significant concern.
Prognostic Indicators: Identifying factors that predict survival is crucial for managing owner expectations and guiding treatment intensity.
Arrhythmia Management: Irregular heart rhythms (arrhythmias) can complicate acute heart failure, requiring specific therapeutic strategies.
Key Questions in Canine Cardiology
The ongoing study of heart failure in dogs addresses several fundamental questions:
Can hereditary forms of heart failure in dogs be prevented or cured?
What are the most effective management strategies for acute cardiac decompensation?
How can owners best support their dogs through the different stages of heart failure?
Sources Used:
Merck Veterinary Manual (Dog Owners): Provides general information on heart failure in dogs, including signs and classifications. https://www.merckvetmanual.com/dog-owners/heart-and-blood-vessel-disorders-of-dogs/heart-failure-in-dogs
Vet Education: Discusses the management of acute congestive heart failure in dogs, including questions about arrhythmias, prognosis, and medication. https://veteducation.com/management-of-acute-congestive-heart-failure-in-the-dog/
PetMaven: Offers an overview of congestive heart failure in dogs, covering stages, signs, and care. https://maven.pet/all-about-pets/pet-health/dog-conditions/congestive-heart-failure-in-dogs/
Vet Explains Pets: Addresses common questions regarding heart failure treatment in dogs, including prevention and curability. https://vetexplainspets.com/treatment-for-heart-failure-in-dogs/
VIN (WSAVA 2018 Congress): Discusses the clinical signs of congestive heart failure in dogs and the challenges posed by concurrent signs of inadequate cardiac output. https://www.vin.com/apputil/content/defaultadv1.aspx?id=8896768&pid=22915